本篇文章给大家谈谈牙齿有碎渣掉下来,以及牙齿有碎渣脱落对应的知识点,希望对各位有所帮助,不要忘了收藏本站喔。
梦见牙齿碎了掉渣渣是什么意思?
1、女人梦见牙齿碎了掉渣渣,这通常被解读为家庭可能遭遇不幸。牙齿在梦中代表亲人,因此这种梦境可能预示着与亲人相关的变故。 梦见牙齿碎裂并掉落,在古人看来是不吉利的象征。牙齿象征着亲人的健康和关系的稳固,牙齿的损坏可能预示着亲人的健康问题或关系的紧张。
(图片来源网络,侵删)
2、女人梦见牙齿碎了掉渣渣预示着家庭可能出现变故。古人历来把牙齿当作亲人,因为它是人一生中最坚固的地方,感情也是人生最重要的组成部分。
3、怀孕的女人梦见牙齿碎了掉渣渣,预示生女则吉,生男则凶。谈婚论嫁的女人梦见牙齿碎了掉渣渣,说明母亲阻碍多,婚姻难成。恋爱中的女人梦见牙齿碎了掉渣渣,说明相互体谅尊重,婚姻可成。本命年的女人梦见牙齿碎了掉渣渣,意味着口舌是非难免,官司或火灾小心。
4、恋爱中的女人梦见牙齿碎了掉渣渣,说明需要互相沟通,有希望成婚,不要错过机会。本命年的女人梦见牙齿碎了掉渣渣,意味着只要有信心,虽有波折之后顺利如意。做生意的女人梦见牙齿碎了掉渣渣,代表经营多年慢慢成长,有财利,小心火灾。
(图片来源网络,侵删)
5、女人梦见牙齿碎了掉渣渣是什么预示 女人梦见牙齿碎了掉渣渣是什么预示,做这样的梦意味着近期的整体运势较为一般,甚至有下滑的趋势,建议梦者在做任何事情之前都考虑清楚,以免出现事与愿违的情况,下面是我精心整理的女人梦见牙齿碎了掉渣渣是什么预示,仅供参考,希望能够帮助到大家。
6、女人梦见牙齿碎了掉渣渣,预示近期的运势还是不错的,有什么想要方案或是尝试,可以大胆的去做,经过梦者的艰苦努力能顺利成功的。怀孕的已婚者梦见牙齿碎了掉渣渣,预示生男,夏占生女。顺利安全。
这几天发现下排牙齿内侧脱落一些淡黄色碎片物,脱落后舌头能舔到肉,很...
脱落的应该是牙结石,不舒服一般是掉落的不规则,有粗糙感。牙结石一般附着在牙面及牙龈上,所以脱落后能感觉碰到肉,这种情况最好去医院选择牙周洁治,俗称洗牙。然后再保持一下口腔卫生。
(图片来源网络,侵删)
牙齿内侧根部出现了一块脱落,舔之方能察觉缺失,此为黄褐色物质。此现象实则为牙结石所致,乃食物残渣与唾液中的矿物质长期沉积形成。牙结石不仅会压迫牙龈,还可能导致牙龈萎缩、口腔异味等问题。为了防止牙结石的形成,维护口腔健康至关重要。
牙齿的内侧根部掉了一块黄褐色的东西,这其实是牙结石,也就是留存在牙齿上的食物残渣和唾液中矿物质等长期积留形成的牙垢结石。会压迫牙龈,导致牙龈萎缩,口臭,等等口腔问题。要避免牙结石发生,还是要注意口腔卫生。
手轻轻一抠,下排门牙上抠出了一大块类似石头的硬物,用舌头舔了舔,发现那里空了一个洞。 这种情况可能是牙结石。牙结石是由唾液中的矿物质与口腔内的酸性分泌物反应形成的,容易附着在牙齿背面或牙龈与牙齿结合处等难以清洁的位置。 时间长了,这些物质就会变成难以去除的牙结石。
你好,根据你的情况看,掉的有可能是牙石,牙龈红,有可能有炎症。建议你到口腔科检查一下,如果口腔卫生差。牙石多,建议进行洁治。
这叫牙结石,你说的那块硬物应该捏一捏就碎了,想粉末一样。主要是人的唾液中所含的矿物质,与口腔内的酸性分泌物产生反应而来,这些反应物很容易附着在牙齿背面,或牙龈与牙齿结合处等刷牙也难以清洁的位置,时间长了,就变成顽固难除的衍生物——牙结石。这2种办法能去牙结石 去医院洗牙。
吃东西牙齿碎了一块怎么办
1、吃东西时牙齿碎了一块,应采取以下措施:避免使用患牙:暂时避免用这颗牙齿吃太硬的食物,以防进一步损伤。清洁口腔:及时清除掉局部食物残渣,保持口腔卫生,防止感染。及时就医:尽快去口腔科就诊,让专业医生进行检查和评估。
2、问题分析: 你好,你的患牙存在着缺损并伴接触性出血的情况,是需及时治疗的,大致的治疗方案是进行局部修?并加做牙套。否则缺损处易进一步脱落、龋齿,相伴的出血可能是牙裂部牙龈的影响也会加重。 意见建议: 对此,建议你及时到相关医院的牙科就医,通过?牙及加装牙套基本上能解决问题。
3、问题分析: 你好,根据你所描述的症状,应该是牙釉质掉了,露出了牙本质,现在吃东西敏感,应该是牙本质过敏,就会出现遇冷热***酸痛的症状。 意见建议: 建议:可以到正规医院口腔科或者正规口腔诊所就诊,让医生检查一下你的牙齿,做一下安抚治疗。如果症状减轻,过一段时间补上就可以。
4、如果牙齿有龋洞而碎裂了一小块,可以到医院进行治疗,去除龋坏的部分之后再进行补牙。正常健康的牙齿比较坚固,除非受外力撞击一般很少会碎,所以碎了一小块的,不一定是牙齿本身,也有可能是牙结石,这种情况建议到医院洗牙,去除牙结石。
5、…,不一定哦。要看一下碎掉的牙齿以前有没有龋坏,如果是龋坏的,神经坏死的牙齿,因为失去了血液循环和营养供应,常常导致牙齿的崩裂。如果是这样,还是建议找牙医检查咨询,根据情况进行牙神经的治疗,做冠保护起来就可以正常使用了。
6、就会发生您所描述的那种情况。所以一般我们都会建议在做完根管治疗后,再做冠修复治疗,就是给牙齿做个冠套,把它罩上,这样既保护了基牙,又保证了有效的咀嚼,还不失美观。建议您先找您的牙医复查一下,可能需要再补一下,冠修复治疗对于您来说是很有必要的,您考虑一下吧。希望能够帮到您。
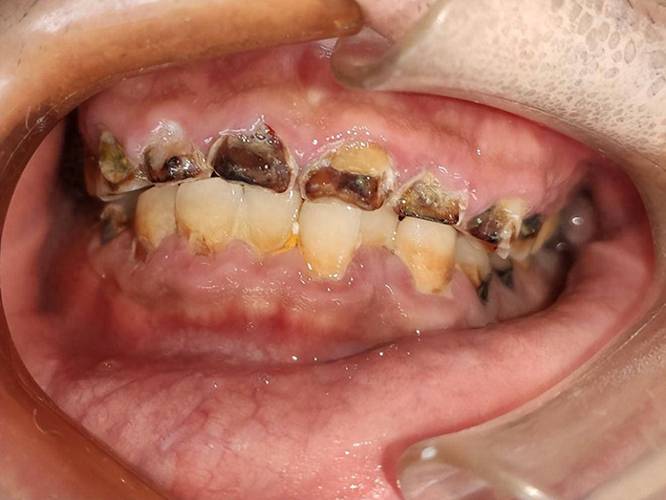
牙齿掉渣渣是什么原因造成的
牙齿掉渣渣可能由以下原因造成:龋齿龋齿是牙齿硬组织被细菌代谢产物(如酸)逐渐破坏的疾病。早期表现为牙釉质脱矿,形成白色斑块;随着龋损进展,牙体组织崩解,形成龋洞,最终导致牙齿表面碎裂、掉渣。龋齿的发生与口腔卫生差、高糖饮食、细菌定植等因素密切相关。
牙齿一点点的掉碎渣,一般有两种可能:牙釉质发育不好,比较脆,咬硬食物的时候可以使牙釉质折裂,一点点脱落,掉小的碎渣。牙齿经过根管治疗,往往拔除了牙神经,牙齿就没有血液进行滋养,这时牙齿非常脆。
病情分析: 您好,根据您的描述,可能是局部牙垢脱落引起的症状,无需特殊治疗,不必过于担心。正常人都有一定的牙垢,平时应注意口腔卫生,必要时到牙科洗牙。 意见建议: 保持良好的心态和饮食生活习惯,合理膳食营养,注意口腔卫生。
口渣是嘴里有渣渣,通常是因为牙结石、牙髓炎等疾病导致,具体的原因需要到医院进行详细的检查,然后做针对性的治疗。
牙齿根部脱落出小碎片,牙根底部有小洞,这问题严重吗??该怎么办?_百度...
1、毒蛇和无毒蛇的体征区别有:毒蛇的头一般是三角形的;口内有毒牙,牙根部有毒腺,能分泌毒液;尾短,突然变细。无毒蛇头部是椭圆形;口内无毒牙;尾部是逐渐变细。虽可以这么判别,但也有例外,不可掉以轻心。蛇的种类很多,遍布全世界,热带最多。中国境内的毒蛇有五步蛇、竹叶青、眼镜蛇、蝮蛇和金环蛇等;无毒蛇有锦蛇、蟒蛇、大赤链等。
关于牙齿有碎渣掉下来和牙齿有碎渣脱落的介绍到此就结束了,不知道你从中找到你需要的信息了吗 ?如果你还想了解更多这方面的信息,记得收藏关注本站。
本文可能通过AI自动登载或用户投稿,文章仅代表原作者个人观点。本站旨在传播优质文章,无商业用途。如侵犯您的合法权益请联系删除。




