男子误吞鱼刺穿透胃壁“钻”入肝脏。
“只是一根鱼刺,怎么会跑到肝里去?”37岁的李先生(化名)至今仍难以相信,这根藏在体内半个月的“隐形杀手”,竟险些让他陷入生命危险。
半月前,李先生在没有明显感觉的情况下,不小心吞食了一根鱼刺。几天后,他陆续出现腹痛、发热、畏寒等症状,体温一度高达40℃。在当地医院,医生诊断为“肝脓肿”,并给予抗炎、补液及穿刺引流治疗。可高烧反复、腹痛难解,始终没有找到确切的病因。
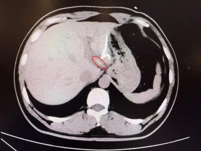
直到进行CT检查时,医生才惊讶地发现——肝脏左叶靠近胃贲门处,竟有一条细长的高密度影,形似鱼刺。原来,那根鱼刺在吞咽后穿透了胃壁,从贲门区域“钻”入肝脏,引发感染与脓肿。在简单进行肝脓肿介入穿刺引流后,当地外科医生评估后认为,要彻底清除异物,需要进行左半肝切除手术,但这对于李先生来说,创伤大、风险高,他难以接受。
为寻求更精准、微创的治疗,经当地内镜医生介绍后李先生辗转来到复旦大学附属中山医院内镜中心。“鱼刺位置非常凶险,就在贲门旁刺入左肝,紧贴大血管。”接诊的周平红主任介绍,“病程长、腹腔感染粘连严重,术中可能找不到鱼刺,一旦操作不慎也会造成内镜下无法控制的大出血。”周主任提出了个大胆的设想——能否通过胃镜,在食道管壁夹层建个隧道“开一扇门”,直接进入腹腔取出鱼刺?这个想法意味着要让内镜“跨越”胃壁的天然边界,是一次前所未有的尝试。术前,周平红主任带领内镜团队按照术前CT检查,反复推演每一步操作路径,力求安全与精准兼顾,在手术开始前由团队蔡明琰副主任医师进行超声内镜精准定位,为建立黏膜下隧道指明方向。
在全麻下,周平红教授熟练运用内镜领域先进的“隧道技术”,先精准切开胃壁,再将内镜穿过小网膜囊,进入腹腔——这一步相当于为内镜“开辟”了一条直达病灶的微创通道。进入腹腔后,团队发现李先生的网膜与左肝脏紧密黏连。周主任立即与在场的肝外科、放射科、麻醉科医生共同讨论,结合术前影像学评估和术中实际情况,一致判断黏连包裹团块处即为异物所在。经过耐心分离后,一抹银光在灯下闪现——那正是长约3.5厘米的鱼刺,锋利如针,已深深嵌入左肝组织中。
周主任稳稳夹住鱼刺,将其完整取出,全程无明显出血。手术历时3小时,患者术后恢复顺利,体温恢复正常,肝脓肿逐渐吸收。李先生免于进行高创伤、高风险的左半肝切除手术,保住了完整的肝脏功能。
据悉,该手术是全球首例“内镜下经食管黏膜下隧道进腹肝异物取出术”,标志着内镜技术在跨腔治疗领域新的突破。就像在食管和胃壁上开了一扇“隐形之门”,通过内镜直达病灶,实现精准、微创、安全地取出异物,为未来复杂胸腹腔病变的内镜介入治疗提供了全新思路。
从餐桌上的一口鱼,到内镜下的精准操作,这根看似微不足道的鱼刺,见证了一场跨越食管、胃、胸腹腔与肝脏的医学奇迹,也展现了中山医院内镜团队勇于创新、探索极限的医疗精神。
专家提醒,鱼刺、鸡骨、牙签等尖锐异物一旦误吞,应尽早就诊,不可依赖“吞饭团”“喝醋”等民间方法自行处理。若异物穿透胃肠壁,可引发胸腔大出血、腹膜炎、脓肿,甚至危及生命。
本网通过AI自动登载内容,本文来源于:今日头条,仅代表原作者观点和立场,本站仅做信息存储供学习交流。


