9月9日上午,浙江大学医学院附属邵逸夫医院发布了一项重要消息:该院一群90后医生自主研发的全球首款骨胶水“骨02”碎骨黏,在临床试验中证明能够在人体血液环境中实现即时强效黏合。这一创新生物材料将为骨科领域带来颠覆性的治疗模式革新。
骨折是临床上常见的损伤,若不能获得及时有效的治疗,可造成严重后果,也是导致中青年患者病残、老年患者死亡的主要因素之一。虽然现代医疗技术提高了骨折的整体预后,特别是螺钉、钢板等金属内固定物的应用,但对于伴随众多细小碎骨块的粉碎性骨折,临床治疗仍面临巨大挑战。传统金属固定方法难以实现解剖复位,固定小骨片过程不仅费时费力,难以做到严丝合缝的拼接,且易导致骨碎片在操作中丢失或被吸收,造成骨量不可逆损失,进而引发骨愈合延迟或不愈合。特别是关节部位的粉碎性骨折,如果无法精准复位,极易造成关节面缺损或不平整,最终发展为创伤性关节炎,严重影响患者功能与生活质量。
全球范围内,粉碎性骨折每年新增病例高达数千万。如何为这些患者提供更有效、更微创的治疗方案,成为骨科领域最具挑战性的临床难题之一。
范顺武教授从医四十余年,一直梦想着有一种可以直接黏合骨头的医用材料。尽管近百年来科学家和临床医生不断探索,但始终未能突破生物安全性与液性环境黏合强度这两项关键技术瓶颈。范顺武教授将这一任务交给了林贤丰副主任医师。早在2016年,林贤丰在手术台旁感受到粉碎性骨折治疗的复杂与无奈,决定带领年轻团队投身骨胶水的研发。然而最初几年却一直未能取得实质性进展,研究一度陷入停滞。
转机出现在林贤丰回家乡温州探亲时,他无意间看到跨海大桥底部密密麻麻附着着一层牡蛎。这幕自然奇景给了他灵感:既然牡蛎能在海水中粘得牢固,那么能否在人体湿性环境中创造类似的可能性?通过对牡蛎生物黏附机制的科学分析,历经50余种配方迭代、数百次测试优化,结合大量的动物实验,团队最终成功攻克了材料的生物毒性、血液环境黏合性和手术操作便捷性等关键难题。
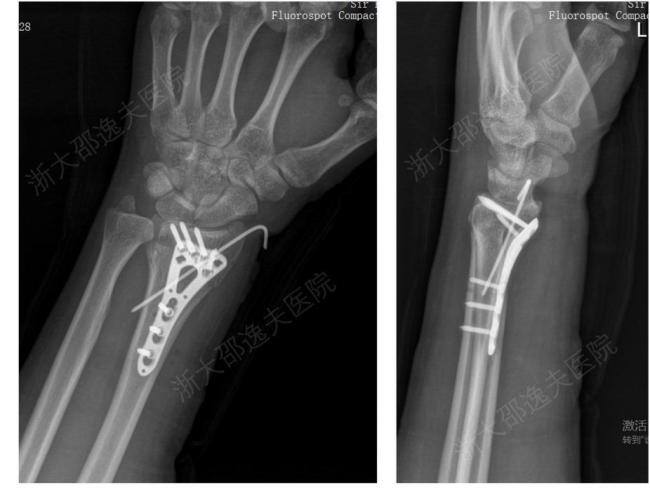
“骨02”在血液浸润的湿性生理环境下实现2-3分钟即时、强效黏合;操作简便高效,显著提升手术效率;材料可完全生物降解,约6个月后随骨愈合而自然吸收,实现真正的“无痕”,免除传统手术需二次手术之苦。“骨02”的临床价值已在全国各中心150余例受试病例中得到验证。例如,一位年轻工人因外伤导致腕部桡骨远端粉碎性骨折,应用“骨02”黏合技术,团队仅通过一个2-3厘米的微创切口注入“胶水”材料,短短3分钟内即完成了粉碎骨块的精准黏合与固定。术后3个月随访显示,患者骨折愈合良好,无并发症,腕关节功能完全恢复。
林贤丰表示,“骨02”几乎适用于全身所有部位、各种尺寸的骨折修复,尤其是传统器械难以固定的微小碎骨。不久的将来,骨折病人可能只需到医院“打一针”就可以回去,也可以从事一些简单的社会工作活动,真正改变老百姓传统认知中“伤筋动骨一百天”的现实。
这项由中国医生原创的科技成果,标志着我国在骨折微创治疗领域实现了重大自主突破。目前,“骨02”的核心研究团队已向国家知识产权局申请中国发明专利,并同步递交了国际PCT专利,经权威查新确认具有新颖性与创造性。下一步,团队计划同步开展口腔种植牙及脊柱微创内固定替代的临床试验。
本网通过AI自动登载内容,本文来源于:杭州网,仅代表原作者观点和立场,本站仅做信息存储供学习交流。




